BQQ Aqua
Mua sản phẩm BQQ trên Zalo App
Tóm tắt: Tôm thẻ chân trắng là loài tôm được nuôi phổ biến nhất trên [...]
“Có gì trong nước?” Nghiên cứu về hệ vi sinh vật trong ao nuôi tôm [...]
Sự xuất hiện của bệnh ở tôm đã gây ra nhiều lo ngại về an [...]
1 – GIỚI THIỆU Mục tiêu của tài liệu này là giúp khách hàng hiểu [...]
Tác dụng của việc bổ sung khoáng LithoNutri Micron lên tôm thẻ chân trắng ở [...]
YUCCA STAR – BÍ QUYẾT GIÚP TĂNG CƯỜNG SỨC KHỎE VẬT NUÔI, ĐƯA TÔM NUÔI [...]
1. CÁC BỆNH THƯỜNG GẶP Bệnh đốm trắng do virus (WSSV): Đây là bệnh nguy [...]
Sự Khác Nhau Giữa Bệnh Tdp Và Ems, Biện Pháp Khuyến Cáo Phòng Bệnh I. [...]
Khoáng chất đóng vai trò quan trọng trong nuôi tôm, ảnh hưởng trực tiếp đến [...]
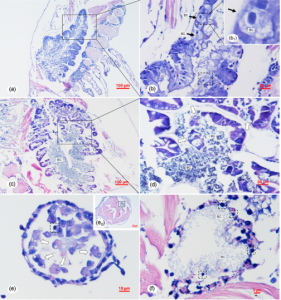
(Nghiên cứu này đã điều tra các tác nhân truyền nhiễm tiềm ẩn của bệnh [...]
Tên tài khoản hoặc địa chỉ email *
Mật khẩu *
Ghi nhớ mật khẩu Đăng nhập
Quên mật khẩu?